Policiales

La joven acosada y agredida en un boliche ratificó su denuncia

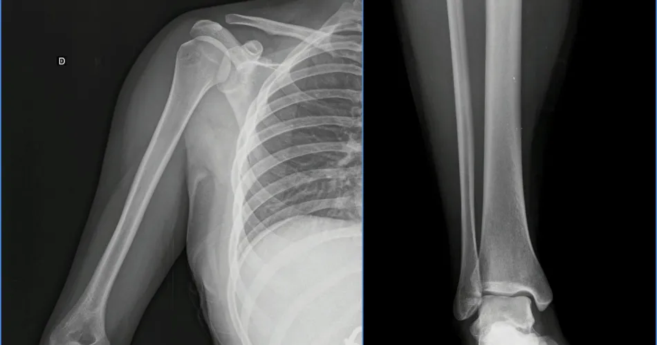
LESIONES. La damnificada fue examinada por los forenses que constataron las heridas.

Los denunciados podrían ser imputados por "Lesiones graves", ya que por la fractura del hombro, el forense diagnosticó 45 días de curaciones.

Después de la pesadilla que vivió una joven de 19 años junto con su novio en un boliche de la zona sur de la ciudad, se presentó ayer en el Ministerio Público Fiscal para ratificar su denuncia contra dos jóvenes que serían conocidos en "el ambiente de la noche", asegurando que uno de ellos la acosó dentro del local bailable y el otro minutos después la atacó a golpes y le fracturó el hombro.

Tal como lo publicó EL LIBERAL en su edición de ayer, la damnificada había salido con su novio, el hermano de éste y la pareja, a un boliche ubicado en cercanías de Aguirre y Solís.

Según la denunciante, uno de los jóvenes la manoseó y ante su reclamo y el de su novio, el acusado le propinó un golpe de puño al novio de la damnificada. Posteriormente, cuando eran expulsados del lugar por la Seguridad Privada, un amigo del primer acusado,la habría atacado a ella con puntapiés y le fracturó el hombro derecho, entre otras lesiones.

Ayer el médico forense examinó a la joven y diagnosticó 45 días de curaciones. La causa es investigada por la fiscal Silvia Jaime Luna.

Ir a la nota original

MáS NOTICIAS